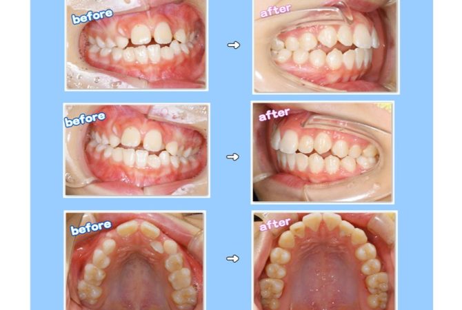
2025.11.15 イベントその他 5歳児健康診査へ行ってきました♪ 詳しく見る 2025.11.14 症例 EMS社エアフローを使用した定期検診症例 詳しく見る 2025.11.12 症例 横向き親知らずの抜歯症例 詳しく見る 2025.10.27 インプラント学び インプラントのための骨造成セミナーを受講 詳しく見る 2025.10.26 イベント院内のこと ハロウィンWeek★キッズイベント開催中 詳しく見る 2025.10.21 学び 博多で歯科麻酔セミナーを受講 詳しく見る 2025.10.19 症例 拡大床と3DLによる小児矯正症例 詳しく見る 2025.10.14 症例 横向き親知らずの抜歯症例 詳しく見る 2025.10.5 治療院内のこと 最新の電動麻酔器を導入♪ 詳しく見る 1 / 29 ページ23…29次へ »