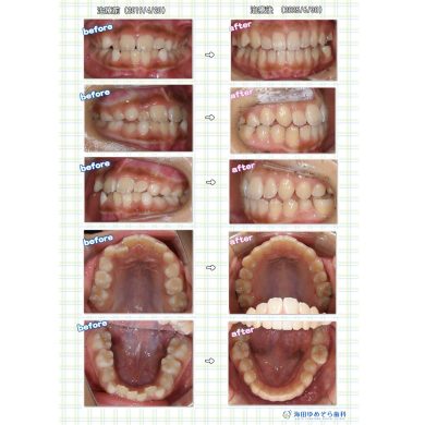
拡大床と3DLによる小児矯正症例
キレイにならびましたね♪
毎日継続してよく頑張りました☆
(写真掲載許可あり)

・治療内容
拡大床と3DLによる小児矯正治療
・治療期間
6年2ヶ月
・治療費用
275,000円(税込)+毎回の調整料
・リスク
拡大床の使用時間が短いと歯が並ぶスペースができないことがあります
☆インビザラインファースト(マウスピース矯正)による小児矯正の症例は、
当院のインビザライン専門サイトのブログをご覧ください
***************************
【診療時間】
月・火・木・金・土 9:00~13:00 14:00~18:00
水 休診 祝日のある週は終日診療あり
【休診日】
水・日・祝日
***************************